Aktualizacja: 28 listopada 2025 r. | 15:45 | Czas czytania: 8 minut
729
🔄 Udostępnij
97
💬 Komentarze
Aktualizacja: 28 listopada 2025 r. | 15:45 | Czas czytania: 8 minut
729
🔄 Udostępnij
97
💬 Komentarze
Każdy poranek czułam się, jakbym nadepnęła na gwóźdź
Nazywam się Anna, mam 47 lat i pracuję w handlu detalicznym.
Moja praca wydaje się nieszkodliwa, ale moje stopy opowiedziałyby Ci zupełnie inną historię.
Codziennie pokonuję tysiące kroków:
do magazynu, z magazynu
Układam towary
osiem godzin stania na twardej podłodze
uśmiecham się, nawet gdy stopy krzyczą z bólu
Na początku było to tylko lekkie szarpnięcie w pięcie, kiedy wieczorem zdejmowałem buty.
Potem nastąpił moment, który wszystko zmienił.
Pewnego ranka wstałem, postawiłem stopę na podłodze i podskoczyłem, jakbym został porażony piorunem.
To było tak, jakby ktoś wbił mi gwóźdź w środek pięty.
Najpierw pomyślałem, że coś nadepnąłem.
Ale z dnia na dzień było coraz gorzej.
Pierwsze kroki rano były jak piekło.
Po dłuższym siedzeniu: musiałem trzymać się ściany.
W pracy: każde podejście do kasy było małą próbą odwagi.
Być może znasz to uczucie.
Po kilku tygodniach nie wytrzymałem i poszedłem do ortopedy.
Rentgen, USG, test ciśnieniowy.
Diagnoza była jednoznaczna: ostroga piętowa i podrażnienie powięzi podeszwowej.
Dostałem standardowy zestaw:
tabletki przeciwbólowe
Leki przeciwzapalne
Ćwiczenia rozciągające
zalecenie stosowania wkładek
Na papierze brzmiało to logicznie.
W rzeczywistości wyglądało to tak:
Tabletki powodowały zmęczenie i obciążały żołądek.
W stresujące dni po prostu nie myślałam o ćwiczeniach rozciągających.
Wkładki z recepty były twarde i nieporęczne, w moich codziennych butach czułem się, jakbym miał deski.
Wynik: prawie ich nie nosiłem.
A bez nich ból powracał za każdym razem.

Jak zapewne wielu w mojej sytuacji, wpadłam wtedy w typową spiralę:
tanie wkładki żelowe z drogerii
miękkie wkładki z pianki, które były bardzo wygodne, ale po kilku tygodniach się spłaszczyły
maści i kremy, które miały rzekomo „głęboko wnikać w ból”
Wydawałem pieniądze, miałem nadzieję i ciągle doświadczałem tego samego rozczarowania.
Nieważne, czy to było 10 euro, czy 60 euro – na dłuższą metę nic się nie zmieniło.
Wieczorami siedziałam na kanapie z okładem chłodzącym i poważnie zastanawiałam się, czy nie powinnam poszukać pracy, w której nie musiałabym tak długo stać.
Tylko: co robi 47-letnia sprzedawczyni, która nagle nie może już długo stać?
Mój ortopeda powiedział mi kiedyś:
„Dopóki nie rozłożymy nacisku pod piętą w inny sposób, miejsce to będzie się ciągle podrażniać”.
Wtedy tylko wzruszyłam ramionami.
Jasne, nacisk, pięta, przeciążenie – wszystko to już słyszałam.
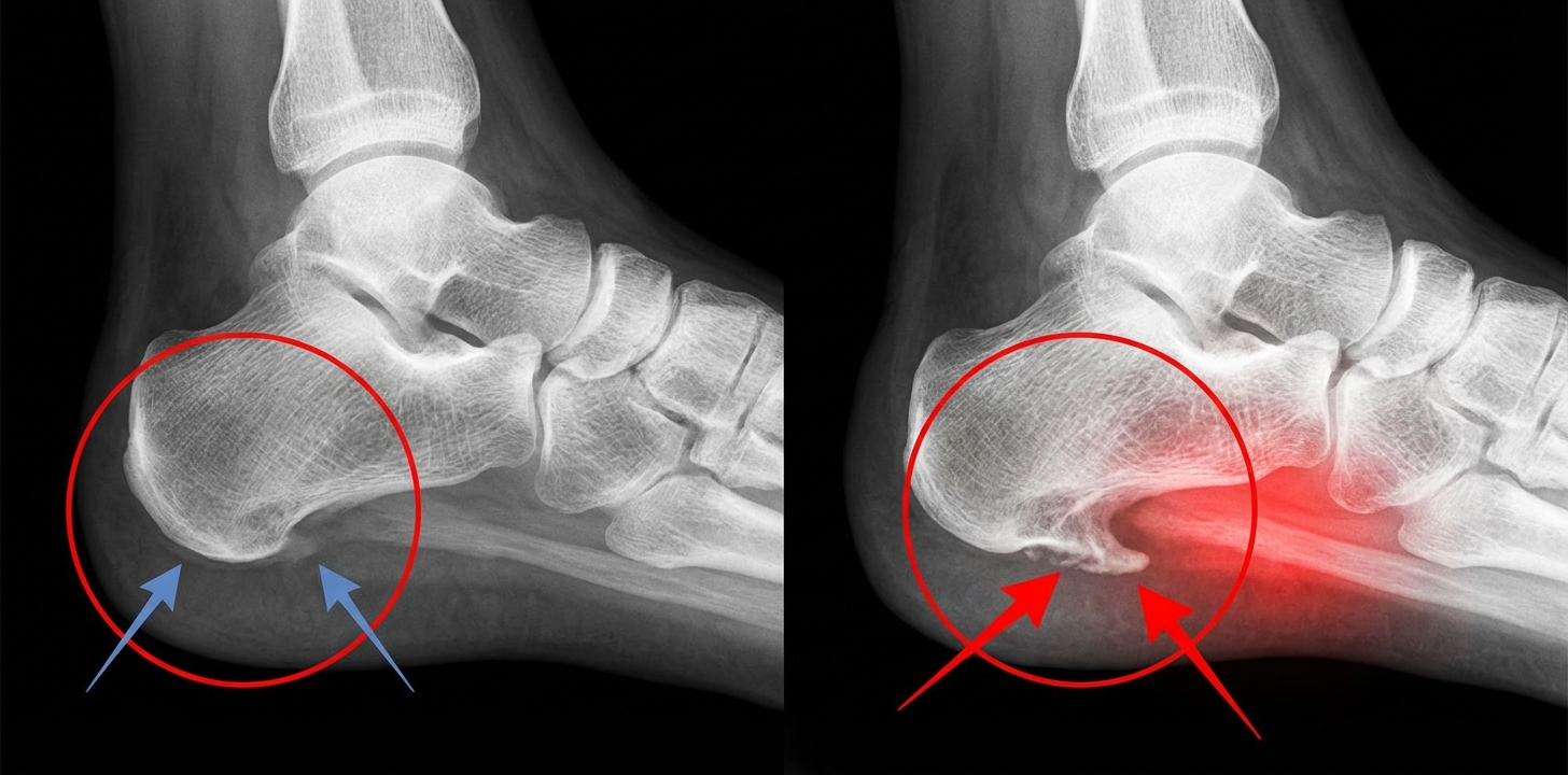
Ale w pewnym momencie zacząłem się dokładniej zastanawiać, jak w ogóle powstaje ostroga piętowa.
I wtedy po raz pierwszy zrozumiałem, dlaczego tak niewiele rzeczy naprawdę mi pomagało.
Wyjaśnię to tak, jak sam to zrozumiałem.
Pod stopą znajduje się mocna płytka ścięgna, czyli powięź podeszwowa.
Przy każdym kroku napina się ona jak lina między piętą a palcami.
Jeśli:
podłoże jest twarde
amortyzacja w bucie jest słaba
sklepienie stopy opada
to przy każdym kroku dochodzi do przeciążenia tego przyczepu ścięgna w pięcie.
Organizm reaguje:
niewielkimi pęknięciami
zapaleniem
i w pewnym momencie ewentualnie wyrostkiem kostnym, znanym jako „ostroga”.
Najgorsze jest to, że
Wystarczy, że nacisk wielokrotnie uderza w niewielki punkt na pięcie.
Dopóki nic się nie zmieni, przy każdym kroku naciskasz na miejsce, które i tak jest już w stanie zapalnym.
Nic dziwnego, że to boli.
Właśnie w tym miejscu stosuje się wkładki.
Ale tylko wtedy, gdy są odpowiednio skonstruowane.

Po zapoznaniu się z tematem w końcu zrozumiałem, dlaczego moje dotychczasowe próby były tak frustrujące.
Większość wkładek była albo:
zbyt miękkie W
pierwszej chwili wydawały się jak poduszka, ale były tak miękkie, że nacisk i tak skupiał się w jednym miejscu.
albo
zbyt twarde
Zapewniały wprawdzie wsparcie, ale uciskały miejsca, które i tak były już wrażliwe. Po kilku godzinach chciałem je po prostu zdjąć.
W przypadku ostrogi piętowej potrzebne jest jednak coś innego:
celowe amortyzowanie pod piętą, aby uderzenie nie było tak brutalne.
Wsparcie łuku stopy, aby powięź podeszwowa nie była nadmiernie rozciągana przy każdym kroku.
Rozłożenie nacisku na większą powierzchnię, aby nie skupiał się on w jednym bolesnym punkcie.
Zdałem sobie sprawę, że dopóki kupuję „jakiekolwiek” wkładki, to tylko przypadek decyduje o tym, czy mi pomogą, czy nie.

Punktem zwrotnym był dość ciężki dzień.
Było tuż przed świętami Bożego Narodzenia, sklep był pełen, nadgodziny, za mało personelu.
Wieczorem usiadłam na kanapie z poduszką rozgrzewającą i z frustracji zaczęłam czytać opinie na temat ostrogi piętowej.
Na jednym z forów ktoś napisał:
„Wypróbowałem co najmniej dziesięć różnych wkładek, ale dopiero BOLLSEN przyniosło mi ulgę w bólu pięt”.
Nigdy wcześniej nie słyszałam tej nazwy.
Szukałam dalej i natknęłam się na opinie osób, które opisywały dokładnie to, czego pragnęłam:
mniej bólu przy pierwszym kroku
lepsza amortyzacja w butach codziennych i roboczych
miękkie uczucie pod piętą, bez „pływającego” uczucia w całej stopie
Im więcej czytałem, tym częściej pojawiała się ta nazwa: wkładki BOLLSEN.
A potem to zdanie w opisie:
„Ortopedzi twierdzą, że ukierunkowana amortyzacja i odciążenie pięty mogą być odczuwalne już od pierwszego kroku”.
To było dokładnie to, co wyjaśnił mi mój ortopeda.
Tylko że do tej pory nie znalazłem wkładki, która byłaby wygodna w codziennym użytkowaniu i jednocześnie zapewniała takie odciążenie.
Więc zamówiłem parę.
Przyznaję: byłem sceptyczny.
Kolejna wkładka, kolejna paczka, kolejna nadzieja.
W kartonie znajdowała się para wkładek, które wyglądały inaczej niż te, które miałam do tej pory:
W okolicy pięty wyraźnie widoczna, miękka wyściółka
Pod łukiem stopy wyczuwalne, ale nie przesadzone podwyższenie
W sumie wystarczająco smukłe, aby zmieścić się w moich tenisówkach
Wyjąłem oryginalne wkładki z butów, włożyłem BOLLSEN i założyłem buty.
Pierwsze wrażenie:
Obszar pięty był miękki i amortyzowany.
Stałem stabilniej, nie mając wrażenia, że stoję na klocku.
Postąpiłem zgodnie z radą, aby nie nosić wkładek przez cały dzień.
W pierwszym dniu ograniczyłem się więc do kilku godzin w codziennym życiu.
Najciekawsze wydarzyło się następnego ranka.

Jak każdego ranka, oparłem stopy o krawędź łóżka, wziąłem głęboki oddech i powoli wstałem.
Zwykle był to moment, na który musiałam się wewnętrznie przygotować.
Kłucie w pięcie.
Tym razem poczułem tylko lekkie szarpnięcie.
Zatrzymałem się na chwilę, zrobiłem kilka kroków i czekałem na „gwoździe”.
Nie nadszedł.
Ból nie ustąpił całkowicie, ale był na tyle łagodny, że mogłem bez przeklinania podejść do ekspresu do kawy.
W kolejnych dniach nosiłem wkładki coraz dłużej:
do pracy
na zakupy
na spacery
Wciąż zdarzały się dni, kiedy coś odczuwałem.
Ale różnica w stosunku do poprzedniego stanu była wyraźna:
Pierwsze kroki rano były znośne.
Po zmianie w sklepie nie musiałam już od razu kłaść się na nogi.
Znów miałem ochotę na spacer w weekend.

Nie jestem lekarzem, ale mogę opowiedzieć o swoich odczuciach i tym, czego dowiedziałam się na temat budowy wkładek.
1. Miękka, ukierunkowana amortyzacja pod piętą
W okolicy pięty znajduje się specjalna podkładka amortyzująca.
Dzięki temu pięta nie uderza bezpośrednio o twardą podeszwę buta, ale o rodzaj „amortyzatora”.
Dzięki temu lądowanie jest znacznie łagodniejsze.
2. Wsparcie łuku stopy
Wkładka jest ukształtowana pod podbiciem stopy, dzięki czemu stopa nie ugina się całkowicie.
Dzięki temu rozciąga się powięź podeszwowa, ponieważ nie jest już maksymalnie napinana przy każdym kroku.
3. Rozkład nacisku na większą powierzchnię
Zamiast punktowego nacisku na najbardziej bolesne miejsce, moja waga jest teraz lepiej rozłożona na całej tylnej części stopy.
Zauważam to szczególnie wtedy, gdy muszę stać dłużej.
4. Przydatność w codziennym użytkowaniu
Kwestia, która jest dla mnie prawie ważniejsza niż wszystko inne:
Mogę nosić wkładki w moich zwykłych butach.
W tenisówkach, butach roboczych, a czasem nawet w nieco węższych butach rekreacyjnych.
Nie są one nieporęczne i nie muszę kupować specjalnych butów.
5. Trwałość
Wcześniej miękkie wkładki spłaszczały się po kilku tygodniach.
Noszę wkładki BOLLSEN już od kilku miesięcy, a amortyzacja nadal wydaje się stabilna.

Na początku myślałam, że po prostu miałam szczęście.
Zaczęłam więc rozmawiać z innymi osobami, które również cierpią na ostrogę piętową lub zapalenie powięzi podeszwowej.
Oto kilka typowych historii:
Marco, 42 lata, magazynier
„Stoję na betonowej podłodze i noszę obuwie ochronne. Wieczorem moje pięty płonęły. Dzięki wkładkom BOLLSEN po raz pierwszy nie padam na sofę zaraz po zakończeniu zmiany”.
Eva, 51 lat, nauczycielka
„Rano kulałam do prysznica, a w szkole spędzałam każdą wolną chwilę na siedzeniu. Odkąd noszę wkładki, znów mogę schodzić po schodach bez łez w oczach”.
Yannick, 35 lat, pracuje w butach
„W moich butach bojowych po kilku godzinach zawsze miałem wrażenie, że stopy zaraz eksplodują. Dzięki BOLLSEN nacisk jest inny, teraz wytrzymuję całe zmiany”.
Oczywiście każda historia jest indywidualna.
Żaden produkt na świecie nie może zagwarantować, że każdy osiągnie takie same rezultaty.
Jednak uderzające jest to, jak wiele osób z podobnymi problemami zgłasza odczuwalną ulgę.

Aby to konkretnie ująć, oto trzy sytuacje, w których najbardziej odczuwam różnicę.
1. Pierwszy krok rano
Wcześniej:
głęboki wdech
zacisnąć zęby
Krok po kroku kulejąc w kierunku łazienki
Dzisiaj:
wciąż czuję, że „coś” tam jest
ale ostry ból minął
dzień zaczyna się bez przekleństw
2. Po długiej zmianie
Wcześniej:
zdejmowanie butów, podnoszenie nóg, nikt nie mógł się do mnie zwracać
Odmawiałem każdego zaproszenia po pracy
Dzisiaj:
nadal jestem zmęczony
ale po pracy mogę iść na zakupy lub na krótki spacer
znów czuję się jak człowiek, a nie jak wrak
3. Czas wolny
Wcześniej:
Spacery planowane jak małe wyprawy
zawsze z myślą „Jak daleko dotrę, zanim zacznie naprawdę boleć?”
Dzisiaj:
wychodzę z mężem i naszymi przyjaciółmi po prostu na spacer
nie myślę już przy każdym kroku o mojej pięcie
nie planuję już swojego wolnego czasu wokół bólu

Aby wkładki spełniały swoje zadanie, polecam następujący sposób, który sprawdził się w moim przypadku:
Wyjmij oryginalną
wkładkę Najpierw wyjmij cienką wkładkę z butów. W przeciwnym razie będą one zbyt ciasne.
Włóż wkładki
BOLLSEN Wybierz po prostu swój normalny rozmiar buta w rozmiarówce UE. Wkładka powinna leżeć płasko w bucie, bez wybrzuszeń.
Powolne zwiększanie
noszenia Pierwszego dnia noś wkładki tylko przez 3 do 4 godzin.
Następnie codziennie nieco dłużej, aż będziesz mógł nosić je przez cały dzień.
Słuchaj swojego ciała
Lekkie uczucie ciągnięcia na początku jest normalne, ponieważ stopa jest prowadzona inaczej.
Silny ból lub uczucie drętwienia są oznaką, że należy skrócić czas noszenia lub sprawdzić dopasowanie.
Używaj w najważniejszych
butach Najpierw zainwestuj w buty, w których spędzasz najwięcej czasu:
buty robocze, codzienne trampki, ewentualnie buty do biegania.
„Czy w takim razie mogę zrezygnować z wizyty u lekarza i terapii?”
Nie.
Jeśli odczuwasz silny ból, zawsze powinieneś udać się do lekarza, aby ustalić jego przyczynę.
Wkładki BOLLSEN nie zastępują diagnozy ani leczenia medycznego.
Są one środkiem pomocniczym, który może zmienić obciążenie mechaniczne.
„Jak szybko zauważę efekty?”
W moim przypadku pierwsze różnice zauważyłem po kilku dniach.
U innych trwa to dłużej.
Twoja stopa musi przyzwyczaić się do nowego prowadzenia.
„Czy działają one również, jeśli nie mam zdiagnozowanego ostrogu piętowego, ale odczuwam ból pięt?”
Wiele osób, które korzystają z wkładek, nie ma zdjęcia rentgenowskiego z „ostrogą”, ale ma typowe problemy z piętą.
Decydujące znaczenie ma to, czy ból wynika z przeciążenia i ucisku.
Właśnie w tym miejscu wkładki spełniają swoją rolę.
„Czy mogę je zmieniać między różnymi butami?”
Tak.
Na początku miałem tylko jedną parę i ciągle przełożyłem je między butami do pracy a butami rekreacyjnymi.
Później kupiłem sobie drugą parę, żeby nie musieć ciągle ich zmieniać.
Gdybym dzisiaj miał odpowiedzieć na pytanie, komu poleciłbym BOLLSEN, to przede wszystkim tym grupom:
osobom, które rano przy pierwszym kroku odczuwają ból w pięcie
Osoby pracujące, które muszą dużo stać lub chodzić i wieczorem ledwo mogą stąpać
mężczyźni i kobiety, którzy wypróbowali już kilka wkładek, ale jak dotąd nie byli zadowoleni
wszystkich, którzy chcą znów normalnie korzystać ze swoich stóp w codziennym życiu, bez myślenia o bólu przy każdym kroku
Być może rozpoznają Państwo w tym siebie.
Nie chcę Państwa oszukiwać.
Nawet z wkładkami BOLLSEN nigdy nie zostanę baletnicą o idealnych stopach.
Są dni, kiedy nadal czuję piętę.
Ale między „każdy krok to ukłucie” a „trochę to czuję, ale mogę normalnie funkcjonować przez cały dzień” jest ogromna różnica.
Dla mnie różnica była na tyle duża, że dziś mogę powiedzieć:
Zachowałam swoją pracę.
Nie muszę już planować swojego wolnego czasu wokół bólu.
Znowu mam ochotę się ruszać.
Nie wiem, czy wkładki BOLLSEN przyniosą Państwu taką samą zmianę.
Nie zastąpi tego żaden tekst reklamowy, żadna recenzja ani żadna przyjaciółka.
Możesz to sprawdzić tylko sam.
Dla mnie były to pierwsze kroki od dawna, podczas których poczułem:
Nie chodzę już po gwoździach, ale znów po własnych stopach.